BLOG
<span data-metadata=""><span data-buffer="">Temas importantes en la actualidad
Conoce acerca de padecimientos y tratamientos que han
tomado relevancia en la salud de la mujer hoy en día.

Miomatosis Uterina
¿Qué es la miomatosis uterina? Son tumores que se desarrollan del tejido muscular del útero. También se denominan leiomiomas o fibromas. El tamaño, la forma y ubicación de los

Infertilidad
¿Qué es la infertilidad? Según la Organización Mundial de la Salud (OMS), la infertilidad es «una enfermedad del aparato reproductor definida por la imposibilidad de lograr un embarazo clínico después de

Infección por virus del papiloma humano
¿Qué es el virus del papiloma humano? El virus del papiloma humano (VPH) son grupos diversos de virus DNA pertenecientes a la familia de los Papillomaviridae. Entre treinta y

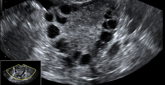
Síndrome de Ovarios Poliquísticos
¿Qué es el síndrome de ovarios poliquísticos? El síndrome de ovarios poliquisticos es un trastorno que afecta hasta un 5-10% de las mujeres, y tiene 3 características principales: niveles

¿Qué es la endometriosis?
La endometriosis se define como la presencia de tejido endometrial fuera de la cavidad uterina, y que produce una reacción inflamatoria crónica. Esta enfermedad ocurre aproximadamente en 1 de